La bonne préparation d’une intervention dentaire vous permettra d’en obtenir les meilleurs résultats avec un minimum de désagréments.
Les pathologies bucco-dentaires - Page 3
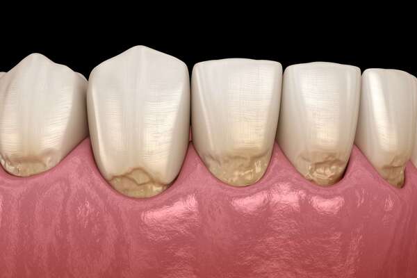
La mylolyse ou lésion cervicale d’usure se définit comme une perte de matière dentaire se localisant au collet de la dent.
Les interventions sont souvent suivies d’une gêne ou d’un inconfort. Des règles simples permettent de gérer au mieux les suites opératoires.
La réduction de la sécrétion salivaire se traduit par des sensations de picotements, de soif, une difficulté à mastiquer et à avaler.
Votre chirurgien-dentiste est habilité à effectuer des injections d’acide hyaluronique dans la zone péri-buccale, ceci dans un cadre thérapeutique.
Affichage des articles 25-29 sur 29





